出っ歯をマウスピース矯正で治療した症例/埼玉県上尾市
2021年06月20日
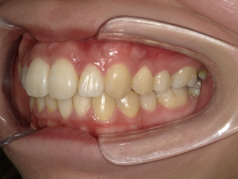
主訴 前歯を下げたい
治療内容 マウスピース矯正(インビザラインスタンダード)
治療費 ¥ 702,000(検査、調整料、保定装置代込みの総額)
治療期間 9か月
出っ歯を主訴に来院されました。
前歯だけでなく、口元全体を下げるのであれば小臼歯を抜歯しワイヤーでの矯正治療が必要とご説明しましたが、主に出っ歯の改善を希望されたため、マウスピースで治療を行いました。
上下とも前歯の歯と歯の間を0.3~0.5mmずつ削り、歯列を側方に拡大することで歯が並ぶスペースを作りました。
抜歯をしていないのでわずか9ヶ月で治療が終わっています。
〈メリット〉
・装置が目立ちにくい
・短期間で治療が終了する
・歯を抜かなくて済む
〈デメリット〉
・口元全体は下げられない(口元を下げるには抜歯が必要なため、ワイヤー矯正になる)
・歯と歯の間を削る必要がある
![]() |
![]() |






