反対咬合を片額矯正で治療した症例/埼玉県上尾市
2020年07月5日
主訴:2番の反対咬合を治したい
治療内容:インビザライン ハーフ(マウスピース矯正)
治療費:¥378,000(検査代、装置代、保定装置代含む総額)
治療期間:4か月
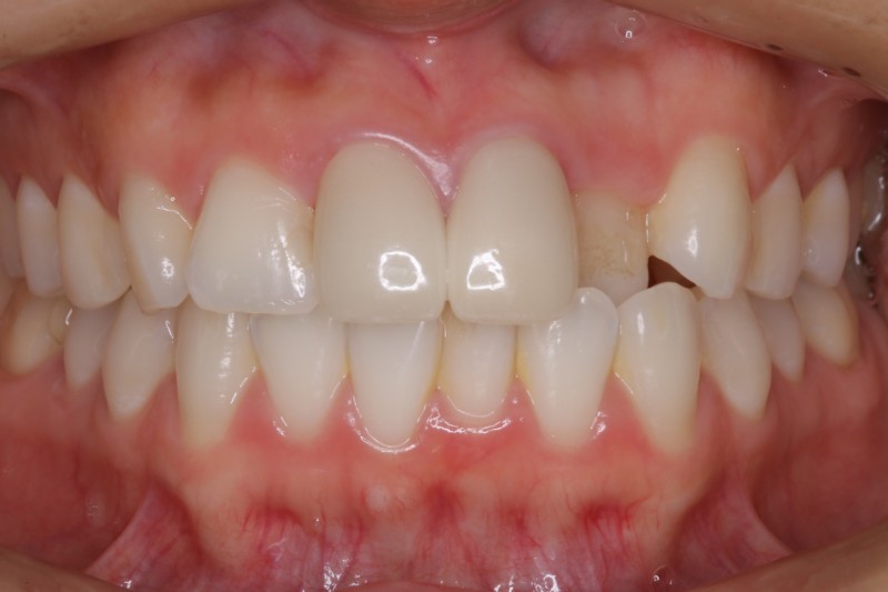
今回の患者様は左上の2番目の前歯が気になるということで来院されました。
拝見すると、左上の側切歯(2番目の歯)が下の歯と噛み合わせが反対になっていることはわかりました。(反対咬合)
通常矯正治療というのは、上下で治療をするのが基本となっています。片側だけ治療をしたいという患者さんは非常に多いですが、片側だけで歯を動かしてしまうと、歯並びは綺麗になっても噛み合わせがおかしくなってしまいます。ですので片側だけの矯正は非常に稀なケースです。
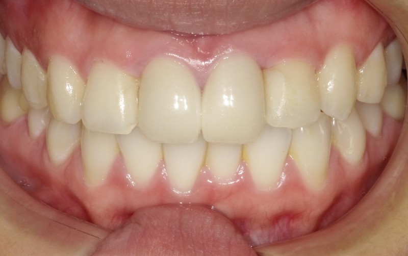
ただ今回の患者様については前歯のデコボコの量がさほど多くなかったため、奥歯は一切動かさずに、前歯の犬歯から犬歯を動かす治療をしました。
治療期間は4ヶ月で、マウスピースの適合が悪くなることがなかったので、作り変えは行いませんでした。
右上1番目、2番目、左上1番目、2番目の歯と歯の間を0.2mmずつやすりがけし隙間を作り、その隙間を利用して側切歯を前方に出しました。
このような部分矯正や片顎矯正が適応できる患者様はあまり多くありませんが、1本だけの反対咬合や少量のデコボコについては適応できることがありますのでご相談ください。
【メリット】
矯正装置を片側だけつければ良い
マウスピースなので装置が目立たない
費用が安くなる
期間が短い
【デメリット】
歯と歯の間を少し削ることが必要
前歯しか動かすことができない
![]() |
![]() |






