デコボコや八重歯をワイヤー矯正で治療した症例/埼玉県上尾市
2018年12月14日
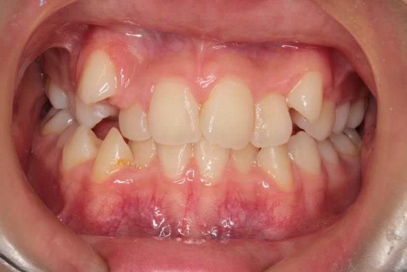
主訴:八重歯やデコボコを治したい
治療内容:NiTiストレートワイヤーとマルチブラケットシステムによる矯正治療
治療費:¥539,800
治療期間:1年8か月
デコボコが大きく小臼歯を抜歯しての矯正治療も検討しましたが、精密な検査の結果、非抜歯でも治療が可能と判断し顎を拡大して歯を並べました。
ワイヤー矯正は歯磨きがしづらくなるため、丁寧なブラッシングが必要になります。こちらの患者様は歯磨きが上手ではなかったので、矯正治療中に虫歯になってしまうリスクがありました。そのため、通院ごとに歯ブラシの当たり方をチェックし、プラークコントロールを行いました。
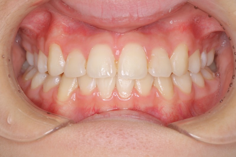
患者様の年齢が若かったこともあり、比較的短期間で理想的な歯並びに仕上がりました。
![]() |
![]() |






