すきっぱを部分矯正で治療した症例/埼玉県上尾市
2019年06月10日
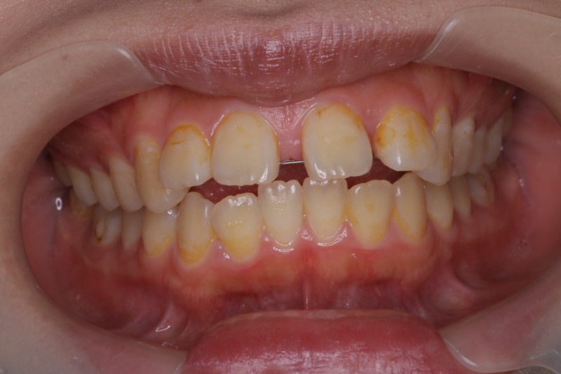
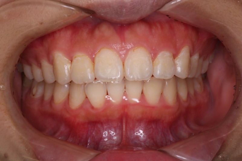
主訴:すきっぱを治したい
治療内容:NiTiストレートワイヤーとマルチブラケットシステムによる矯正治療
治療費:¥ 259,200(検査、調整料、保定装置代込みの総額)
治療期間:0年4か月
前歯が大きくすいてしまっているのを上の前歯のみの部分矯正で治療しました。
隙間が大きく、歯を並べるスペースが十分にありましたので、治療期間は4か月と驚くほど早く治すことができました。
今回の症例は奥歯の噛み合わせが良く、問題が前歯に限局していたため、部分矯正で綺麗に治りました。しかし部分矯正は適応範囲が狭いため、症例により全顎矯正になることも多いことをご理解ください。
![]() |
![]() |






