八重歯やデコボコを非抜歯ワイヤー矯正で治療した症例/埼玉県上尾市
2019年10月10日
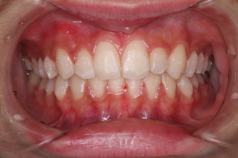
主訴:デコボコを治したい
治療内容:NiTiストレートワイヤーとマルチブラケットシステムによる矯正治療
治療費:¥682,000
治療期間:2年3か月
前歯にでこぼこがあり小臼歯を抜歯しての矯正治療も検討しましたが、顎の拡大で対応できると判断し非抜歯で治療を行いました。
ワイヤー矯正は歯磨きがしづらくなるため、丁寧なブラッシングが必要になります。通院ごとに歯ブラシの当たり方をチェックし、プラークコントロールを行いました。
全体的に治療したことにより、見た目だけでなく噛み合わせも改善しました。患者様から「食事がしやすくなった」と喜びの声が届いています。
![]() |
![]() |






