出っ歯をマウスピース矯正で治療した症例/埼玉県上尾市
2020年01月20日
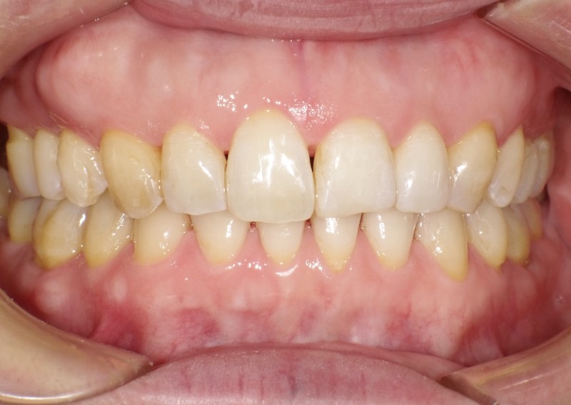
主訴:右上前歯の出っ歯を治したい
治療内容:マウスピース矯正(インビザラインスタンダード)
治療費:¥ 702,000(検査、調整料、保定装置代込みの総額)
治療期間:1年5か月
右上の出っ歯、下の前歯の隙間が気になって来院された40代の女性です。
昔から歯並びが気になっていたのですが、装置に抵抗があり今まで治療に踏み込めずにいました。ネットでマウスピース矯正を知り来院されました。
〈メリット〉
・装置が目立たない
・拡大と遠心移動で隙間を作るため、抜歯や削る必要がない
・短期間で治療が終了する
〈デメリット〉
・奥歯の噛み合わせに乱れが大きく、より精密な噛み合わせを作るのはワイヤーが適していることを了承いただいた上で治療を進めた。
・右上前歯の歯肉退縮を治すには、歯肉移植が必要。
![]() |
![]() |






