出っ歯をマウスピース矯正で治療した症例/埼玉県上尾市
2019年07月31日
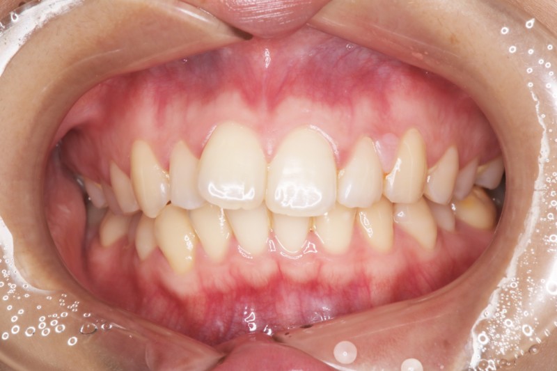
主訴:出っ歯を治したい
治療内容:マウスピース矯正(インビザラインスタンダード)
治療費:¥ 702,000(検査、調整料、保定装置代込みの総額)
治療期間:0年6か月
マウスピース矯正は歯列弓を拡大し、歯を並べるスペースを作り治療します。今回は拡大だけでは歯が並びきらないため、一部の歯と歯の間を研磨して、治療に十分なスペースを作りました。
今回の症例はデコボコが大きくなかったので、インビザラインスタンダードで綺麗に治すことができましたが、デコボコが大きく抜歯が必要になる症例は、部分的にワイヤーを使用するインビザラインアドバンス、もしくはワイヤー矯正で対応します。
![]() |
![]() |






