軽度な反対咬合をワイヤー矯正で治療した症例/埼玉県上尾市
2019年04月19日
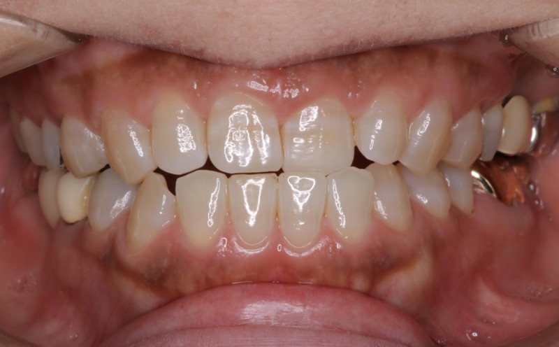
主訴 :噛み合わせが悪い
治療内容:NiTiストレートワイヤーとマルチブラケットシステムによる矯正治療
治療費 :¥ 243,000(税込)内訳:装置代¥216,000、調整料¥5,400×5回(装置代には検査代、保定装置代を含む)
治療期間:0年5か月
上顎だけの部分矯正で左上前歯の反対咬合を治しました。
下顎に干渉していた左上の前歯を動かすことにより正常の噛み合わせに戻しました。元から歯並びは綺麗な患者様だったため非常に短期間で治すことができました。
今回の症例は部分矯正で綺麗に治りましたが、部分矯正は適応範囲が狭いため、症例により全顎矯正になることがあります。
![]() |
![]() |






